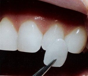
Une facette dentaire en porcelaine de top qualité – 210 €. Avec les facettes vous pouvez recevoir le sourire dont vous avez toujours rêvé!
Facette dentaire c’est une mince lame de porcelaine qui couvre le devant des dents (la façade) et permet de corriger des petites imperfections des dents comme la forme incorrecte, la couleur ou les taches sur la dent. Il existe les facettes à capsule qui couvrent la façade et la dent d’en bas (quelques mm), elles sont plus solides. Le prix de cette facette est 240 €.
Les facettes sont utilisables pour les dents de devant, elles sont le plus adaptées pour 6 dents centrales (pour créer une belle ligne de sourire comme Holywood smile). On peut corriger beaucoup de défauts des dents et améliorer leur apparence dans une manière la plus naturelle (pour chaque patient nous produisons les facettes par rapport à la morphologie de sa dentition et sa physionomie).
Dans certains cas si la dent est trop usée, déchaussée ou abimée c’est mieux d’opter pour la couronne dentaire au lieu de facette. Ainsi la dent sera fortifiée et le résultat sera plus solide et naturel. Pour l’esthétique les couronnes présentent la même apparence que les facettes.
Blanchiment dentaire
Le blanchiment avec Zoom donne le résultat immédiat, efficace et durable (jusqu’au 2 ans). Le prix est 350 € (zone de sourire – haut + bas)
Avec cette technologie on blanchit les dents dans une manière très délicate sans endommager l’émail. La procédure dure environ 1 heure et elle est totalement indolore. Comme le résultat vous avez une couleur blanche naturelle et éclatante.
Avec ce système on peut effectuer jusqu’au 3 séances avec l’intervalle de quelques jours. Ça veut dire que si après la première séance vous constatez que voudriez avoir les dents encore plus blanches nous pouvons répéter la procédure dans 1-2 jours. Veuillez noter que dans notre prix la quantité nécessaire des séances est compris (sans frais supplémentaires).[:en]
A dental porcelain veneer of high quality – 210 €. It’s easy to get a smile that you have always dreamt about!
A veneer is a thin plate made of porcelain which covers a front of the tooth and allows to correct small imperfections like the shape or the colour.
The veneers are used mostly for the frontal teeth (to create a beautiful smile – like Holywood smile).
In some cases if the tooth is too worn or broken it’s better to choose a dental crown instead of veneer. The result will be stronger and more natural.
Bleaching with Zoom
Thanks to the last technique of bleaching you will gain the teeth 5-6 tints whiter!
Our technology of bleaching the teeth allows to remove the traces of coffee, tea, tobacco, wine and also the consequence of the antibiotics treatment (tetracycline).
The bleaching with Zoom gives an immediate result that is really effective and long lasting (till 2 years). The price is 350 € (smiling area)
With this technology the teeth are bleached very nicely without damaging of the enamel. The treatment lasts approximately 1 hour and is absolutely painless. As a result you have white, shining and natural colour.
With this technique we can apply up to 3 seances with an interval of several days. It means that if after the first session you would like to have the teeth whiter, we can apply another seance of bleaching in 2-3 days. We would like to attract your attention that our price includes the necessary quantity of bleaching sessions (without any extra costs).
Виниры представляют собой керамические пластинки, которые устанавливаются на внешнюю часть зубов. Виниры используются в основном для передних зубов для создания красивой зоны улыбки.
Они применяются для корректировки цвета и формы зубов, а также для других незначительных эстетических дефектов.
С помощью виниров Вы можете обрести красивую, белоснежную, естественную улыбку!
В некоторых случаях, если зуб сильно поврежден кариесом или разрушен, лучше установить зубную коронку, нежели винир. Таким образом, результат будет более долговечен.
Отбеливание зубов
Благодаря новейшей технологии отбеливания зубы становятся на 8 оттенков белее и без вреда для эмали! Этот способ отбеливания позволяется удалить налет не только от чая, кофе, вина, табака, но и также изменить нежелательный желтый или серый оттенок зубов вследствие приема антибиотиков (тетрациклина).
Отбеливание с технологией ZOOM дает немедленный результат – непосредственно после процедуры зубы обретают естественную белизну и здоровый блеск. Полученный цвет держится до 2 лет.
Стоимость процедуры 350 € (зона улыбки, 20 зубов переднего ряда).
Что немаловажно, этот вид отбеливания является очень бережным и не повреждает эмаль. Процедура длится около часа и является абсолютно безболезненной.
С помощью технологии ZOOM можно применять до 3 сеансов отбеливания. Таким образом, если после первого сеанса Вы желаете сделать зубы еще белее, через 2-3 дня можно повторить процедуру. Обращаем Ваше внимание, что в стоимость включено необходимое число сеансов (дополнительные расходы при повторном проведении процедуры исключены).


